Ankle fracture

What is an ankle fracture?

Ankle fractures are breaks in one or more of the bones in the ankle joint. The ankle joint is made up of three bones: the tibia, the fibula, and the talus. These bones work together to allow us to walk, run, and move our feet.

Diagram of the ankle bones: the tibia, fibula and talus.

There are several different ways that an ankle fracture can occur. Some common causes of ankle fractures include falling, twisting the ankle, or getting hit by something. The severity of an ankle fracture can vary, with some fractures being small cracks in the bone and others being more severe, with the bone being completely broken or even separating into pieces.

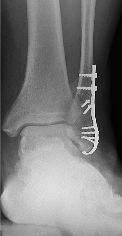
Diagnosis and X-ray

To diagnose an ankle fracture, we will ask about how the injury occurred and carefully examine the ankle for signs of swelling, bruising, skin damage and tenderness. To understand the type and severity of the bony injury, we will get X-rays for you. If you have X-rays taken at an urgent care or emergency room, it is helpful to bring the images on a disc. Some types of fractures need more detailed evaluation such as a CT scan, which can show the bones in 3D. Proper diagnosis requires a hands-on examination and X-rays.

Treatment

If an ankle fracture is not too severe, it can be treated nonoperatively, or without surgery. Non-operative treatment may include wearing a special boot or cast to keep the ankle bones in place while they heal. You may be instructed to avoid putting weight on the leg and have to rely on crutches to get around. Immobilizing the injury and avoiding weight should allow the injury to heal and feel better with time. Some oral pain medications may be recommended for discomfort. Healing time for most fractures is approximately 6 weeks.

If the ankle fracture is more severe, or if the bones are displaced, i.e. not lined up correctly, surgery may be recommended to fix the fracture. This is called operative treatment. There are several different types of surgery that can be used to fix an ankle fracture, depending on the specific injury.

The most common type of surgery is called an open reduction and internal fixation (ORIF). Incisions are made through the skin to access the broken bone(s). Your surgeon will manually move the bone pieces back into place and hold them in place using special screws or plates. The skin is then closed with stitches. With this treatment, the bones are expected to heal in the proper position.

After surgery, the patient will need to wear a splint or special boot to keep the ankle stable while it heals. Putting weight on the leg may be restricted until up to 6 weeks after surgery. Physical therapy may also be recommended to help the person regain strength and mobility in the ankle.

If you think you may have an ankle fracture, it is important to seek medical attention as soon as possible. The sooner the injury is treated, the better the chances of a full recovery.

 
Make an appointment
Previous
Previous

Ankle sprain